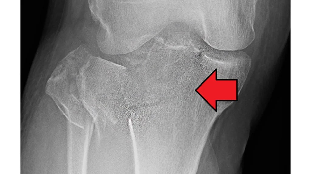
Tibia Fracture
What is a Tibia Fracture?
A tibia fracture is a break or crack in the tibia (shinbone), the larger of the two bones in the lower leg. The tibia plays an important role in supporting body weight and enabling movement. Fractures can vary in severity, from small stress fractures to complete breaks where the bone may be displaced. These injuries are commonly associated with trauma but may also develop gradually due to repetitive stress.
Symptoms of a Tibia Fracture
Symptoms can vary depending on the type and severity of the fracture. Common signs may include:
-
Pain in the lower leg, particularly with movement or weight-bearing
-
Swelling and localised tenderness
-
Bruising or skin discoloration
-
Difficulty walking or inability to bear weight
-
Visible deformity or abnormal alignment
-
A snapping or cracking sensation at the time of injury
-
In more severe cases, an open wound with exposed bone
Types and Common Causes of Tibia Fractures
Tibia fractures can occur in different forms, including:
-
Stress fractures from repetitive loading
-
Closed fractures where the skin remains intact
-
Open fractures where the bone breaks through the skin
-
Displaced fractures where bone fragments shift
-
Non-displaced fractures where alignment is maintained
Common causes include:
-
Sports-related injuries
-
Falls
-
Direct impact to the leg
-
Motor vehicle accidents
Book an appointment
Call us
1300 525 666
Tibia Fracture Risk Factors
Some factors may increase the likelihood of sustaining a tibia fracture:
- Participation in high-impact or contact sports
- Repetitive activities such as long-distance running
- Reduced bone density or bone health
- Previous fractures
- Increased risk of falls
How is a Tibia Fracture Diagnosed?
Diagnosis involves clinical assessment and imaging. A healthcare professional may:
- Review how the injury occurred and assess symptoms
- Examine the leg for tenderness, swelling, and alignment
- Request imaging such as X-rays
- Use CT scans or MRI where further detail is required
Accurate diagnosis helps guide appropriate management.
Treatment Options for Tibia Fractures
Treatment depends on the fracture type, severity, and individual factors.
Non-surgical management may include:
-
Immobilisation with a cast or brace
-
Activity modification and rest
-
Pain management strategies
-
Gradual return to movement under guidance
Surgical management may be considered in some cases:
-
Internal fixation using rods, plates, or screws
-
External fixation to stabilise the bone
-
Surgical care for open fractures
Management is determined on an individual basis by an orthopaedic specialist.
Tibia Fracture Recovery Time
Recovery time varies depending on the injury and treatment approach.
-
Stress fractures may heal over several weeks
-
More significant fractures may take several months
-
Surgical cases may require longer rehabilitation
Recovery may be influenced by:
-
Age and overall health
-
Fracture severity
-
Adherence to rehabilitation recommendations
Rehabilitation and Physiotherapy for Tibia Fracture
Rehabilitation plays an important role in recovery and return to function. This may include:
- Gradual strengthening exercises
- Restoring range of motion
- Gait retraining where required
- Structured physiotherapy programs
Rehabilitation is typically tailored to the individual.
Returning to Sport or Activity
Returning to sport or usual activity should be guided by a healthcare professional. This may depend on:
-
Evidence of bone healing on imaging
-
Strength and mobility recovery
-
Ability to perform activities without significant pain
-
Completion of a rehabilitation program
A gradual return to activity is generally recommended.
Possible Complications
In some cases, complications may occur, including:
-
Delayed healing or non-union
-
Malunion (healing in a different position)
-
Infection, particularly in open fractures
-
Compartment syndrome, which may require urgent care
-
Ongoing pain or reduced function
Early assessment and appropriate management may help reduce risks.
Prevention
While not all fractures can be prevented, general measures may include:
-
Using appropriate protective equipment during sport
-
Gradually increasing training intensity
-
Maintaining bone health through nutrition and activity
-
Reducing fall risk in everyday environments
What to Do After a Suspected Tibia Fracture
If you suspect a tibia fracture:
-
Rest the affected leg
-
Avoid weight-bearing
-
Apply ice to help manage swelling
-
Seek medical assessment
When to See a Doctor
Medical assessment is recommended if you experience:
-
Persistent or severe leg pain following an injury
-
Difficulty or inability to bear weight
-
Swelling, bruising, or deformity
-
Symptoms that do not improve with rest
Is a Tibia Fracture an Emergency?
Some tibia fractures may require urgent medical attention. Seek immediate care if there is:
-
An open wound with exposed bone
-
Significant deformity
-
Loss of circulation or sensation in the foot
-
Severe or worsening pain and swelling
FAQ
Can I diagnose a tibia fracture myself?
It is not possible to confirm a tibia fracture without imaging. Symptoms may suggest a fracture, but assessment by a healthcare professional is required.
Can I walk on a tibia fracture?
Some minor fractures may still allow limited walking, but weight-bearing may worsen the injury. Medical advice should be sought.
How long does it take to recover from a tibia fracture?
Recovery time varies depending on the type of fracture and treatment. It may range from weeks to several months.
Can children get tibia fractures?
Yes, tibia fractures can occur in children, often due to falls or sports injuries. Assessment is recommended if symptoms are present.
How do I know if it is a fracture or a bruise?
Both can cause pain and swelling. Fractures may involve more severe pain, difficulty bearing weight, or deformity. Imaging is needed to confirm the diagnosis.
Do all tibia fractures need surgery?
Not all fractures require surgery. Many are managed with immobilisation and rehabilitation, depending on their characteristics.
How is a tibia fracture treated without surgery?
Non-surgical treatment may involve immobilisation, rest, and gradual rehabilitation under professional guidance.
Will I need crutches or a cast?
Some fractures require immobilisation with a cast or brace, and crutches may be used to reduce weight-bearing during recovery.
